请输入关键字
打开微信,点击左上角+号,
使用“扫一扫”即可将网页分享至朋友圈。
辗转广深求医无果,BOT阳性高危下的“颈内动脉保卫战”在南华附一告捷——成功救治复杂高危复发性鼻咽癌
来源:耳鼻咽喉科 时间: 2025.12.15

近日,一位曾辗转广州、深圳多家大型医院均被告知“无法手术”的复杂复发鼻咽癌患者,在南华大学附属第一医院耳鼻咽喉科成功接受高难度手术后,顺利度过危险期并恢复良好。术后一个多月的复查结果显示,患者鼻咽部修复组织生长良好,原剧烈头痛症状消失,这标志着这场在“生命禁区”(累及双侧颈内动脉)进行的极高风险手术取得成功。该病例的成功救治,彰显了我院耳鼻咽喉科在处理鼻颅底复杂危重病例方面的卓越技术与团队实力。

患者曾奶奶,3年前罹患鼻咽癌,经放疗后曾一度临床治愈。1年前肿瘤不幸复发,虽经深圳一大医院两次手术,病情仍在半年前再次复发,并出现颅底坏死,引发难以忍受的剧烈头痛。此后,家属带着曾奶奶奔波于广州、深圳多地寻求希望,均因肿瘤侵犯范围广泛、紧贴及包绕双侧颈内动脉,被多位专家评估为手术风险极高、无法根治性切除,一度陷入绝望。

经人介绍,他们来到南华大学附属第一医院耳鼻咽喉科,找到刘志锋副主任医师。经过鼻颅底增强磁共振检查,发现病情确实极为棘手:肿瘤累计双侧鼻咽、颅底及毗邻的颈内动脉,左侧肿瘤较前明显增大,右侧伴有严重软组织及骨坏死。然而,刘志锋副主任医师团队经过反复研判,认为通过精密手术仍有一线切除希望。

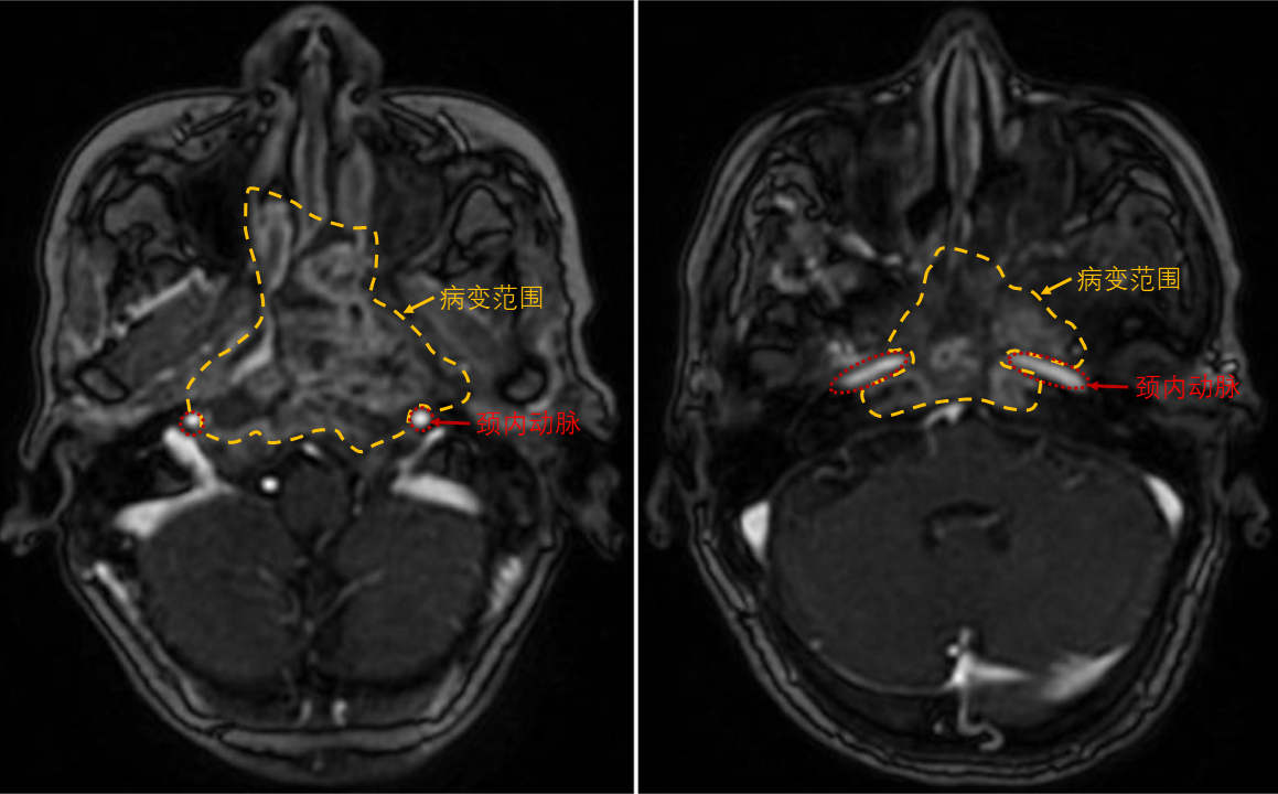
双侧鼻咽部病变范围累及颈内动脉

为确保安全,科室迅速组织了多学科(MDT)会诊。术前关键的左侧颈内动脉球囊闭塞试验(BOT)结果呈阳性,这如同一道“红色警报”,意味着术中若该侧颈内动脉发生意外损伤或必须被阻断,患者极可能发生灾难性的脑缺血事件,风险陡增。因此,手术的终极挑战在于:必须在不损伤双侧颈内动脉的前提下,彻底切除所有病变组织。这对主刀医生的技术、耐力与心理素质提出了极限要求。

面对前所未有的挑战,刘志锋副主任医师凭借深厚的鼻内镜颅底外科功底和勇于担当的精神,制定了周详的手术与血管保护方案。在麻醉科、手术室团队的密切配合及江青山主任医师指导下,经过长达十余小时的持续奋战,刘志锋副主任医师成功为患者实施了“鼻内镜下双侧鼻咽颅底病变切除+双侧颈内动脉外膜病变精细剥离+双侧颞肌瓣修复术”。手术在毫厘之间进行,既完整切除了肿瘤及坏死组织,又奇迹般地保全了双侧颈内动脉的完整与通畅,避免了致命并发症。

主刀医师正在进行手术

术后,曾奶奶困扰已久的剧烈头痛迅速缓解,恢复顺利,并于术后2周康复出院。近日,术后一个多月的返院复查结果令人欣慰:鼻咽颅底手术区域修复的颞肌瓣血运良好,愈合满意,患者无头痛不适,生活质量得到明显改善。 

本例手术的成功及患者的良好康复,充分体现了南华大学附属第一医院耳鼻咽喉科在鼻咽癌复发挽救性手术领域,尤其是处理侵犯颅底重要血管的极限复杂病例方面,具备了国内领先的技术水平、强大的多学科协作能力和深厚的医者仁心。科室将继续深耕鼻颅底外科前沿,勇攀技术高峰,为更多疑难危重患者点亮生命之光。